分子植物育种
(
网络版
), 2012
年
,
第
10
卷
,
第
1559-1564
页
Fenzi Zhiwu Yuzhong (Online), 2012, Vol.10, 1559-1564
http://mpb.5th.sophiapublisher.com
1560
蛋白质组研究中双向电泳分析。近年来,国内外众
多学者已尝试多种蛋白提取方法,以有效提高植物
叶片蛋白质样品
2
-
DE
低丰度蛋白的检测率
(Cellar
et al., 2008; Peltier et al., 2004; Widjaja et al., 2009;
Xi et al., 2006;
任丽萍等
, 2011)
。
萝卜
(
Raphanus sativus
L.)
,是起源于中国的一
种重要十字花科根菜类蔬菜,由于其具有较高的营
养价值和较大的栽培面积,在蔬菜作物生产与供应
中占据着十分重要的地位
(
汪隆植和何启伟
, 2005,
科学技术文献出版社
, 13-18)
。植物蛋白质组学研究
目前主要应用于解析生长发育和生殖过程中蛋白
质组的变化以及环境胁迫耐受机制,分析细胞内动
态变化的蛋白质组成成分、表达水平以及修饰状
态。双向电泳和质谱检测是蛋白质组学研究的主要
方法,但迄今为止,适用于萝卜叶片蛋白质高效提
取的方法尚未确立。
本研究以萝卜真叶期叶片为材料,比较改良的
Tris-HCl/TCA
-丙酮沉淀法和改进的
PEG
分级沉淀
法制备蛋白质样品对
2
-
DE
分析结果的影响,以提高
蛋白质双向电泳图谱的饱和度与分辨度,为进一步
开展萝卜蛋白质组学研究提供技术支撑。
1
结果与分析
1.1
萝卜叶片总蛋白质
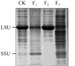
SDS-PAGE
采用蛋白质单向电泳
(SDS-PAGE)
分析
Tris-HCl/
TCA
-丙酮法提取的蛋白质以及
PEG
分级沉降法提
取的所有沉淀组分
(F
1
~F
3
)
。从图
1
的凝胶图谱上可
以看出,由于分子质量的差异,每一个泳道上的蛋
白质谱带分布也存在显著差异,
F
3
组分的蛋白质谱
带分布均匀,许多在
CK
、
F
1
以及
F
2
中未分离的谱带,
在
F
3
上都清晰可见,表明全细胞蛋白质被
PEG
有效
地沉降分离。虽然组分
F
3
中也存在极少量的
RuBisCO
,但
RuBisCO (LSU
以及
SSU)
主要存在于组
分
F
2
以及组分
F
1
中。这些结果表明在萝卜叶片全细
胞蛋白质中,
PEG
沉降法通过分步沉降,可以有效
地将蛋白进行分级分离,并将大部分高丰度蛋白
RuBisCO
富集到
F
1
和
F
2
组分中,
F
3
组分中蛋白得到
高效的分离。
1.2
两种不同提取方法对萝卜叶片
2
-
DE
凝胶图谱的
影响
为了进一步分析
PEG
沉降法对萝卜叶片中高丰度蛋
白
RuBisCO
的分离效果,确定适合萝卜叶片蛋白质
样品制备的方法,将
PEG
分级沉降法获得的各组分
图
1 Tris-HCl/TCA
-丙酮法和
PEG
分级沉降法提取蛋白质的
SDS-PAGE
分析
注
:
泳道
F
1
, F
2
以及
F
3
代表
PEG
分级沉降法的各组分
; CK
代
表对照
,
为
Tris-HCl/TCA
-丙酮法提取的蛋白质
;
左侧箭头
分别代表
RuBisCO
大亚基
(LSU)
和小亚基
(SSU)
Figure 1 SDS-PAGE analysis of proteins from the Tris-HCl/
TCAAcetone extraction and PEG fractionation
Note: The lane F
1
, F
2
and F
3
represent for the PEG fractionations
and, the lane CK represents protein sample from Tris -HCl/
TCAAcetone extraction serving as a control; Arrows on the left
indicate the large subunit (LSU) and small subunit (SSU) of
RuBisCO, respectively
蛋白与
Tris-HCl/TCA-
丙酮法提取的蛋白质进行双
向电泳。预备试验表明,相对于
pH 3~pH 10
的胶条,
蛋白点在凝胶
pH 4~pH 7
之间的区域内分布均匀,
蛋白质点较为清晰,且低丰度蛋白的检测效率提
高。使用
pH 4~pH 7
的胶条,上样量为
1 000 μg/
μ
L
,
对以上各蛋白样品进行双向电泳,获得了重复性较
好的
2
-
DE
凝胶图谱
(
图
2)
。
利用软件
PDQuest 8.0
进行蛋白点检测分析,图
2
中,
A
、
B
、
C
、
D 4
张凝胶图谱所能检测出的蛋白
点数目分别为:
640
、
537
、
170
与
852
。
Tris-HCl/TCA
-
丙酮法制备的蛋白质
2
-
DE
凝胶中,椭圆标注区域有
明显的横纹,蛋白点相互重叠,高丰度蛋白点聚集,
影响了低丰度蛋白的分离,凝胶中蛋白质点
1
号经
质 谱 鉴 定 与 波 斯 菊
(
Coreopsis grandiflora
)
的
RuBisCO
大 亚 基
(Rubisco subunit,
登 录 号 为
gi289907)
同源性较高,相当质量
(Nominal Mass)
为
53 153
,
pI
值为
5.87
。
PEG
分步沉降法制备的蛋白质
2
-
DE
凝胶中,大分子量的高丰度蛋白主要沉降在图
2C (F
2
)
中,而图
2B (F
1
)
中
(
椭圆标注区域
)
也有少量
的高丰度蛋白点存在,尽管
PEG
分级沉降法得到的
各组分的蛋白点存在一定程度的重叠,但
F
1
、
F
2
以
及
F
3
三个组分的凝胶所能检测的蛋白点数之和显著
多于
Tris-HCl/ TCA
-丙酮法提取的蛋白,因此,在
相等蛋白上样量条件下,图
2D (F
3
)
中蛋白点数目得