分子植物育种
(
网络版
), 2012
年
,
第
10
卷
,
第
1278
-
1286
页
Fenzi Zhiwu Yuzhong (Online), 2012, Vol.10, 1278
-
1286
http://mpb.5th.sophiapublisher.com
1282
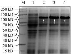
图
5 pET-30b-
Cl
MYB4 (Rosetta)
诱导条件优化电泳图
注
: M: Protein Ladder; 1~4: 0, 0.01, 0.1, 1 mmol/L IPTG
分别
诱导的
pET-30b-
Cl
MYB4 (Rosetta);
白色箭头标出诱导表达
Cl
MYB4
重组蛋白的位置
Figure 5 SDS-PAGE analysis of the fusion protein
Cl
MYB4
expression in different IPTG concentration
Note: M: Protein Ladder; 1~4: pET-30b-
Cl
MYB4 (Rosetta)
with 0, 0.01, 0.1, 1 mmol/L IPTG induction;
Cl
MYB4
recombinant protein band showed by white arrows
中,包涵体蛋白不溶于水,从包涵体中纯化重组蛋
白,需要先将沉淀蛋白溶解。重组蛋白
Cl
MYB4
的
包涵体沉淀分别用
5%
的
Triton
和不同浓度的尿素
溶液洗涤,洗涤液经
SDS-PAGE
电泳检测溶解效
果。结果如图
6
所示,
0.5%
的
Triton
不能溶解包涵
体蛋白,包涵体蛋白在
4 mol/L
或
8 mol/L
的尿素溶
液中溶解度较高,可以得到较多的
Cl
MYB4
重组蛋
白,我们选用
8 mol/L
尿素溶液为
Rosetta-
Cl
MYB4
菌株包涵体的最佳溶解洗涤溶液。
图
6
Cl
MYB4
蛋白包涵体尿素洗涤
SDS-PAGE
电泳图
注
: M: Protein Marker; 1~5:
分别为
0.5% Triton, 1 mol/L, 2
mol/L, 4 mol/L, 8 mol/L
尿素洗涤液
, 6:
未溶的沉淀
Figure 6 SDS PAGE assay of the inclusion bodies of
Cl
MYB4
protein washed by different urea concentration
Note: M: Protein Marker; 1~5:
Cl
MYB4 protein washed by
0.5%Triton, 1 mol/L, 2 mol/L, 4 mol/L, 8 mol/L urea; 6:
Insoluble protein Precipitation
使用
Ni-Agarose His
标签蛋白纯化试剂盒纯化
经过
8 mol/L
尿素溶液溶解的
Cl
MYB4
重组蛋白,
该镍柱纯化系统对
6
×
His-tag
蛋白具有显著特异吸
附能力,能够高效一步纯化带有
6
个组氨酸亲和
标签的蛋白。本实验所得重组蛋白在两端都标记
有
6
×
His-tag
,所以可以直接利用此方法纯化。将
8 mol/L
尿素洗涤液过
Ni
柱吸附
Cl
MYB4
重组蛋
白,再用不同浓度的咪唑缓冲液洗脱纯化,
SDS-PAGE
电泳检测回收液。电泳结果显示
(
如图
7)
,
咪唑缓冲液浓度越高,得到的重组蛋白
Cl
MYB4
浓
度和纯度越好,其中
500 mmol/L
咪唑洗脱液洗脱
纯化的重组蛋白的纯度最高。
图
7
Cl
MYB4
纯化过程
SDS-PAGE
电泳图
注
: M: Protein Marker; 1:
流穿液
; 2~7:
分别为
5, 20, 50, 100,
250, 500 mmol/L
咪唑洗脱液
(
第一管
); 8: 500 mmol/L (
第三
管
)
咪唑洗脱液
; 9: 1 mg/ml BSA
标准品
Figure 7 Purified Product of
Cl
MYB4 detected by SDS-PAGE
assay
Note: M: Protein Marker; 1: Flowed liquid; 2~7: Purified
Cl
MYB4 protein in 5, 20, 50, 100, 250, 500mmol/L imidazole
elution (the first tube); 8: Purified
Cl
MYB4 protein in 500
mmol/L imidazole elution (the third tube); 9: 1 mg/ml BSA
standard substance
2
讨论
MYB
类转录因子家族是一类含有一个或多个
MYB
结构域
(MYB-repeat)
的转录因子
(Bedon et al.,
2007)
,其高度保守的
DNA
结合结构域基序为我们
分离克隆和鉴别
MYB
家族成员提供理论基础。本
实验克隆的杉木
Cl
MYB4
蛋白具有两个保守的
MYB
结构域,序列及蛋白结构分析发现它们分别
属于典型的
R2
和
R3
结构域,可以独立形成螺旋-
转角-螺旋二级结构,构成两个与
DNA
结合的三维
空间构象。同时在氨基酸水平上,这段保守序列中
每隔约
18
个氨基酸残基便规则的出现色氨酸残基
(W)
,它们构成
MYB
蛋白的疏水中心。比较杉木
Cl
MYB4
蛋白与松科植物和被子植物
R2R3
-
MYB
蛋白的
DBD
结构域发现,它们在氨基酸序列上保
守性均为
80%
左右,而且在核心氨基酸
(
如色氨酸
)
的数量和位置上也高度保守,说明
MYB
基因的